In today’s rapidly evolving medical landscape, artificial intelligence (AI) is emerging as a transformative force. Once confined to research labs, AI now plays a pivotal role in healthcare, with studies from Roland Berger revealing that more than half of hospitals worldwide are integrating AI into their diagnostic routines. Projections even suggest that the global market for medical AI could soar past $10 billion by 2030. This shift is not only optimizing existing processes but also redefining what it means to provide healthcare for mankind.
Traditional medicine often responds to illness after it occurs. However, with the integration of AI, healthcare is shifting towards a proactive model. By analyzing data from wearables, genetic profiles, and lifestyle habits, AI systems can anticipate health risks before they become critical. For instance, real-time blood sugar monitoring can alert patients and caregivers to potential issues, reducing hospitalizations by up to 30%. This preventative approach marks a significant leap forward in managing chronic conditions such as diabetes.
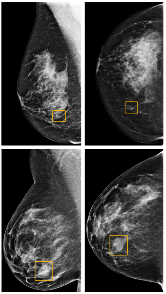
AI is revolutionizing how we diagnose diseases by enhancing both accuracy and speed. Consider these advancements:

The era of generic treatment protocols is ending. AI’s ability to sift through massive amounts of patient data means that therapies can be finely tuned to individual needs. In oncology, for example, AI-driven analysis helps match patients with the most effective targeted therapies, potentially boosting treatment success by a large margin. Additionally, robotic surgery platforms are reducing complications in complex procedures, further highlighting the benefits of this technology.

The pace of medical research is being turbocharged by AI. Breakthroughs in drug development are a testament to this change: what once took years can now be accomplished in a fraction of the time. For example, AI-designed molecules have recently entered clinical trials, slashing drug development timelines from five years to just one. AI’s role in expediting vaccine development during global health crises further underscores its critical importance.
AI is also reshaping how patients interact with healthcare providers. Virtual assistants and chatbots are now capable of offering round-the-clock health advice, contributing to high patient satisfaction rates. Moreover, real-time monitoring and data analytics are empowering AI health coaches to tailor chronic disease management programs, enhancing patient adherence by over a third.
Despite its transformative promise, AI in healthcare faces notable challenges:
AI is not positioned to replace the human touch in healthcare but rather to enhance it—serving as a vital infrastructure that supports medical professionals and enriches patient care. As we move forward, the convergence of technological innovation and ethical governance will be key to realizing a healthcare future that is as inclusive as it is advanced.
User-Agent: